
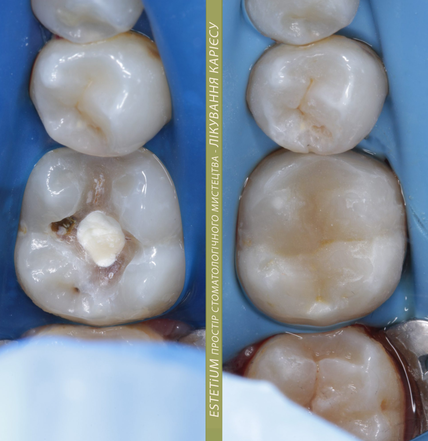
Карієс… Одне з базових стоматологічних захворювань. Вважається, що він є у 100% людей. Якийсь час карієс майже не дає про себе знати. Дуже часто карієс “ховається” між зубами, де помітити його може лише натренований погляд лікаря. Якщо ти вже помічаєш у себе перші симптоми, не відкладай візит до стоматолога “на потім”!





Знайомимося. Проводимо детальну %%діагностику%% стану кожного зуба. Складаємо план лікуванням з урахуванням твоїх побажань.
Місцева анестезія, або седація (введення в сон), за твоїм бажанням.
Ізоляція зуба кофердамом (в тих випадках, коли це потрібно за протоколом).
Препарування карієсу, видалення всіх уражених тканин.
При наявності показань, лікування кореневих каналів під мікроскопом.
Рентген контроль якості пломбування кореневих каналів.
Відновлення дефекту зуба фотополімерною реставрацією, керамічною вкладкою чи коронкою e-max.
Контроль якості лікування зуба на безкоштовних профілактичних оглядах раз на 6 місяців.
.png)
.png)
.png)
.png)
.png)
.png)
.png)
.png)
.png)
.png)
.png)
Заповни будь-ласка форму і наш адміністратор зв’яжеться з тобою